60岁出头时,王先生嘴里还剩下10颗牙,尴尬的是,上下有牙的地方刚好完美错开。上面虽有4颗前牙镇守门面,无奈下面的6颗牙却分散在左右两侧,完全碰不上。为了能吃东西,他去诊所给下牙安了一个烤瓷联冠,用……
60岁出头时,王先生嘴里还剩下10颗牙,尴尬的是,上下有牙的地方刚好完美错开。上面虽有4颗前牙镇守门面,无奈下面的6颗牙却分散在左右两侧,完全碰不上。为了能吃东西,他去诊所给下牙安了一个烤瓷联冠,用左右各两颗牙当做桥墩做了一个超长的桥架。
这半口形态失真、歪歪扭扭的牙看起来似乎还将就,但一张嘴就露馅了,特别是和亲友一起吃饭时,如推磨般的咀嚼功能让他非常恼火。几年后,王先生听说种植牙比较好用,去了新桥口腔等好几家医疗机构咨询,最终因为费用问题和种种顾虑,没有种植。

王先生的口腔全景片(2021年9月/新桥口腔成都玉双院区)
种完上半口 6颗植体1/3出问题
2023年底,王先生终于决定去种牙,他就近选择了金牛区的一家诊所。按照医生的方案,拔掉上面4颗门牙做了半口种植,共埋入了6颗种植体,手术后戴上了临时活动牙冠。按计划,半年后就可以安装正式牙冠了。

2024年春节后,王先生去诊所复诊,无意中听到几个种完牙的患者说质量不行,他开始有点担心。左思右想后,他又去了其他诊所咨询。时间一晃到了4月,王先生嘴里的种植体已经开始出状况了,“果然质量不行啊!上面这颗种植体都冒出来了,还有一颗松了……”
钱损失了,不能让身体再受罪,王先生决定换一家更专业的机构继续治疗,多方比较后,他选择了早前就去过的新桥口腔。
新桥专家出手 精雕细琢挽救口福
接诊王先生的是新桥口腔成都衣冠庙院区种植专科主任李阳军,“我们在系统里查到了他之前的就诊记录,他分别于2021年9月,2022年7月,2023年5月来新桥检查过,从这几次检查结果来看,牙齿和牙周的情况在逐年变差。”
当天的面诊和检查结果显示,王先生在金牛区某口腔诊所种植的6颗种植体中,有一颗出现松动,一颗种植体颈部暴露。

李阳军医生建议拔掉松动的种植体,将暴露的种植体重新缝合后完全埋入牙槽骨,另外加种3颗以增强稳定性。至于下半口,原来的烤瓷桥跨度太大,非常不规范,属于不良修复体,医生建议拆除并拔掉残留的牙齿,做半口种植。

“他的下牙长期存在牙周问题和不良修复体,牙齿基本上都松动了,为了增强稳定性我给出的方案是种6颗而不是4颗。很幸运他的骨量不算太差,通过少量植骨后进顺利埋入了6颗种植体。”

新桥口腔成都衣冠庙院区种植专科主任李阳军
按此方案,王先生只接受了一次手术,就完成了松动的种植体拆除和拔牙、种牙、戴临时牙冠等一系列的治疗,一次解决了困扰多年的缺牙问题。

王先生全口种植后全景片(2024年4月/新桥口腔成都衣冠庙院区)
缺牙勿拖延 及时种植少受罪
李阳军主任经手过大量复杂、疑难的种植案例,王先生的情况对他来说并不难以处理,但这个案例非常具有代表性,他希望借此提醒广大缺牙朋友:种牙要及时,方案选择要慎重。
“首先,他在上颌只剩下4颗牙后又拖了两三年才去治疗,这是非常不可取的,造成的直接后果就是种植难度增大,费用增加;其次,他之前的种植方案也存在一些问题。”
由于王先生在上一家诊所种下的6颗种植体比较短小,在力学方面达不到修复标准,还有两颗因为松动和颈部暴露无法使用,李阳军医生又加种了3颗更长更粗的,以确保长期稳定性。由于骨量不足,有两颗采用了倾斜植入以增加骨接触的面积,目的也是为了更加稳固,还有一颗因为原位置骨量太差,改为在其他位置种植,采取了高难度的术式。

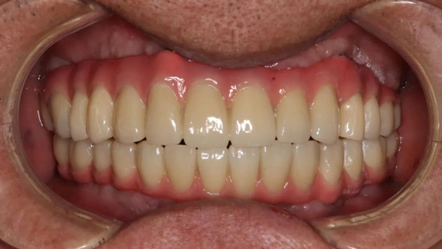
王先生全口种植后戴冠
据李阳军医生介绍,对比检查报告可以看到,王先生的骨量和牙周条件比2021年时差了很多,治疗难度显著增加。不仅如此,他因为之前的治疗方案不理想和两颗种植体无法使用,最后承担了更多的种植费用,也承受了更长的缺牙期。
“他如果21年就种植,对患者对医生来说都要简单得多,早就戴上牙用了几年了!”

王先生正式戴牙后
【案例分析】
王先生在某诊所种植的种植体为何会暴露?
李阳军:种植体颈部暴露可能是因为伤口愈合不好,或者种植后安装的临时活动假牙频繁取戴造成的。考虑到创伤太大,我没有拆除这颗种植体,而是将它作为牙槽骨的一部分保留了下来。它不会影响最终的种植和修复,但由于稳定性不好,不能受力,也不能发挥种植体的作用,相当于是白种了。
半口全口种植一般各种植几颗比较理想?
李阳军:常规来说,上下半口需要各种植4颗或6颗。出于稳定性考虑,6颗是比较理想的,但是很多患者因为牙槽骨的骨质、骨量较差,往往只能种植4颗。
对于种植颗数,其实更多要考虑AP距离这个数值,这是一个力学概念,也就是最前面的种植体与最后面的种植体之间的距离考量,只要这个数值能达到上牙20下牙10,种4颗或6颗都是可以的。
【医生建议】
李阳军:牙齿脱落的原因一般和牙体、牙周疾病有关,还有一个大家容易忽略的原因就是不良修复体的存在。联冠桥架、活动假牙都是常见的不良修复体,联冠桥架需要将两侧作为桥墩的牙磨小,活动假牙需要频繁取戴,两者都会造成牙冠的磨损,可能导致牙齿缺损、缺失。
相对来说,种植牙是目前更为科学合理的修复方式,对邻牙无损伤,咀嚼力也更强。建议缺牙的朋友合理选择治疗方案,早日恢复好口福。
